Advanced Endoscopic Full‑Thickness Resection (EFTR)

EFTR Procedure in Mumbai

Advanced endoscopy for difficult polyps and tumors      ✦
Gentle, scar‑free solution for complex lesions      ✦
Trust advanced technology for safer outcomes      ✦
Safe removal of hard to reach polyps and tumors      ✦
Less pain, less downtime, more relief      ✦
Precision resection, faster recovery
Advanced endoscopy for difficult polyps and tumors      ✦
Gentle, scar‑free solution for complex lesion      ✦
Trust advanced technology for safer outcomes     ✦
Safe removal of hard to reach polyps and tumors      ✦
Less pain, less downtime, more relief      ✦
Precision resection, faster recovery
understanding the basics

What Is Endoscopic Full‑Thickness Resection (EFTR)?

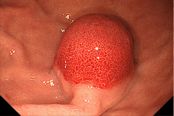
Endoscopic Full‑Thickness Resection (EFTR) is an advanced minimally invasive endoscopic technique designed to remove complex or hard‑to‑reach gastrointestinal lesions, such as large polyps or early stage tumors. Unlike traditional surgery, EFTR is performed through an endoscope, avoiding external cuts and enabling faster recovery.

It provides hope and effective treatment for patients whose conditions cannot be treated with standard polypectomy or mucosal resection.

  • Removes complex polyps and early tumors safely

  • Minimizes hospital stay and recovery time

EFTR Procedure in Mumbai
EFTR Procedure in Mumbai
When Is EFTR Done?

When Is EFTR Done?

EFTR Procedure in Mumbai

What Happens During the Procedure of EFTR?

Anesthesia for Comfort

The patient is given sedation or anesthesia to ensure a painless and safe experience throughout the procedure.

Endoscope Insertion

A flexible endoscope is introduced through the mouth (or rectum, for colorectal lesions) to access the affected area.

Lesion Identification

The doctor carefully examines and marks the lesion using advanced imaging to ensure precise resection.

Full-Thickness Resection

The lesion is removed through all layers of the gastrointestinal wall, after which the site is safely closed with clips or sutures.

Effective Treatment without major surgery

EFTR removes complex lesions completely while preserving organ function and ensuring faster recovery.

Restoring gut health

Common Conditions Diagnosed or Treated with EFTR

Colon Polyps

Large or Non‑Lifting Polyps

Polyps that are difficult to remove using standard methods can be safely excised through EFTR.

Gastric Cancer

Early Gastric or Colorectal Cancer

Offers a minimally invasive alternative to surgery for early cancers confined to the intestinal wall.

Tumors

Subepithelial Tumors

Tumors originating beneath the mucosal layer are removed completely for accurate diagnosis and treatment.

EFTR Procedure in Mumbai

Recurrent Polyps After Previous Procedures

Helps remove polyps that have grown back after earlier treatment.

Why Choose Dr. Shankar Zanwar for EFTR?

Dr. Shankar Zanwar, Consultant Gastroenterologist and expert in advanced therapeutic endoscopy, is highly skilled in performing EFTR with precision and safety. Here’s why you should choose him:

Minimally Invasive Cancer and Polyp Care

Provides organ‑preserving solutions with excellent success rates.

Focus on Patient Comfort &
Safety

Ensures minimal discomfort and a smooth recovery process.

Advanced Expertise in Complex Endoscopy

Skilled in treating lesions that are not manageable by standard endoscopic methods.

Sore Throat

Mild discomfort or bloating for a short period due to the procedure.

Short hospital stay, usually 1-2 days, for observation and safe recovery.

Best Liver Biopsy Procedure in Mumbai

Gradual return to normal diet, starting with liquids and soft foods.

liver transplant

Follow‑up evaluations to ensure healing and confirm complete removal of the lesion.

What to Expect After EFTR?

EFTR patients generally recover quickly, but careful follow‑up is important. You may experience:

Choose precision when it matters most.

Book your EFTR consultation with Dr. Shankar Zanwar today for advanced, minimally invasive treatment.

Don’t delay treatment for complex GI lesions. Consult a gastroenterologist today to explore EFTR as a safe, effective option for your digestive health.

Scroll to Top
Name
BOOK APPOINTMENT WITH